老年人12周才有效,年轻人一次就够:科学家揭示丢失的运动激素
运动抗衰的关键蛋白质CLCF1,能逆转肌肉流失和骨质疏松
鹭羽 发自 凹非寺
量子位 | 公众号 QbitAI
为什么同样的运动,年轻人练完神清气爽,老年人却常常感觉“效果打折”?
科学家们终于找到了藏在肌肉里的答案——抗衰蛋白CLCF1正在随着年龄悄然流失,但运动可以协助“找回”。

事情是怎么一回事捏。
原来是隔壁泡菜国的科学家们,刚刚在自然通讯杂志上发表了关于抗衰老的最新研究,通过小鼠实验,首次证明了运动抗衰的关键蛋白质是CLCF1。
CLCF1就像肌肉自带的“修复剂”,不仅能逆转肌肉流失和骨质疏松,甚至能让衰老的小鼠重焕青春活力。

作者Yong Ryoul Yang博士也回应道:
这项研究为运动会随着年龄增长而变得不那么有效提供了生物学基础,并为开发健康老龄化的新治疗策略奠定了基础。
这下别再小看公园里每天坚持锻炼的大爷大妈了,他们可能才是最懂“生物黑客”的人。
运动为身体“充电”
首先通过分析个体运动前后肌肉组织中分泌蛋白谱的变化,研究团队关注到CLCF1与肌肉健康存在潜在联系。
CLCF1,即心肌营养素样细胞因子1,对运动神经元的发育和维持至关重要,可以与细胞因子受体样因子1(CRLF1)结合,激活信号通路,诱导下游信号事件发生。
为进一步了解CLCF1是如何响应运动和衰老的变化,他们将参与者分为年轻组和老年人组,另引入年轻小鼠和老年小鼠同时参与实验,监测运动后的血液中CLCF1水平的变化。

与年轻受试者相比,老年人的日常CLCF1水平明显较低,运动后年轻组CLCF1水平会显著增加,但有趣的是,老年组只有在连续运动超过12周后才会陆续增加。
这一点在小鼠实验中也得以证实,单次运动后,年轻小鼠血浆CLCF1浓度有所增加,而老年小鼠并未出现类似情况。
另外单独测量3、8和18月龄小鼠的CLCF1水平,能够发现CLCF1具有明显的年龄特征,会随年龄增长而逐渐下降。
仔细观察CLCF1受体(gp130、LIFRβ和CNTFRa)在此过程中的表达,三种受体都随运动增加,而老年小鼠的肌肉组织中gp130和LIFRβ表达显著下降,说明衰老可能会诱导影响细胞信号传导和受体敏感性。

然后研究人员对老年小鼠进行CLCF1腹腔注射,CLCF1改善了小鼠的肌肉功能并抑制了骨质恶化,具体来说,对破骨细胞活性发挥了强效抑制作用,同时适度刺激成骨细胞功能,从而促进骨量增加。
而CLCF1治疗在年轻小鼠中作用并不明显,因为其已经具有最佳的肌肉和骨骼功能,改善空间不大。
反之,研究人员又对小鼠体内的CLCF1活性进行抑制,设计了一种高亲和力的可溶性受体eCNTFR,阻断其与gp130和LIFRβ相互作用。

在接受长达一个月的运动训练和药物阻断后,结果发现运动对肌肉和骨骼健康的改善作用会随之消失,说明CLCF1在介导运动中,对肌肉功能和新陈代谢起着关键作用。
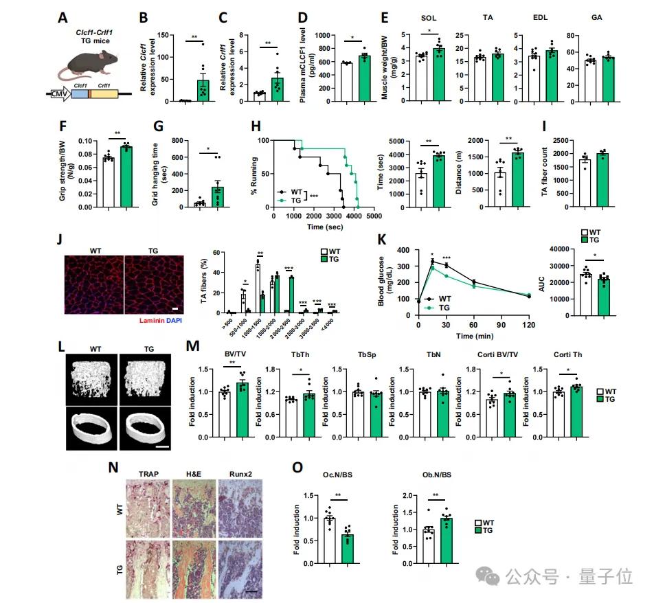
实验还专门生成了过表达CLCF1的转基因(TG)小鼠,构建CRLF1复合物增强分泌,相较于野生型(WT)小鼠,转基因小鼠表现出更强的肌肉力量和更高的骨密度。

于是研究团队综合发现,CLCF1对衰老小鼠的改善作用主要集中在以下三点:
- CLCF1可以促进肌肉纤维增大,改善肌肉细胞的线粒体功能
实验发现,CLCF1可以显著增加TA肌纤维的横截面积,而不影响肌纤维数量,增强老年小鼠的抗疲劳能力。
然后通过实时聚合酶链反应详细分析肌肉中分子变化,发现CLCF1可以让老年小鼠的Myh4 mRNA的表达恢复到与年轻小鼠相当的水平,另外增强了参与肌肉合成代谢信号通路的关键蛋白的磷酸化,例如AKT、mTOR、S6K 和 4E-BP1。
- CLCF1可以抑制骨吸收并增强骨形成
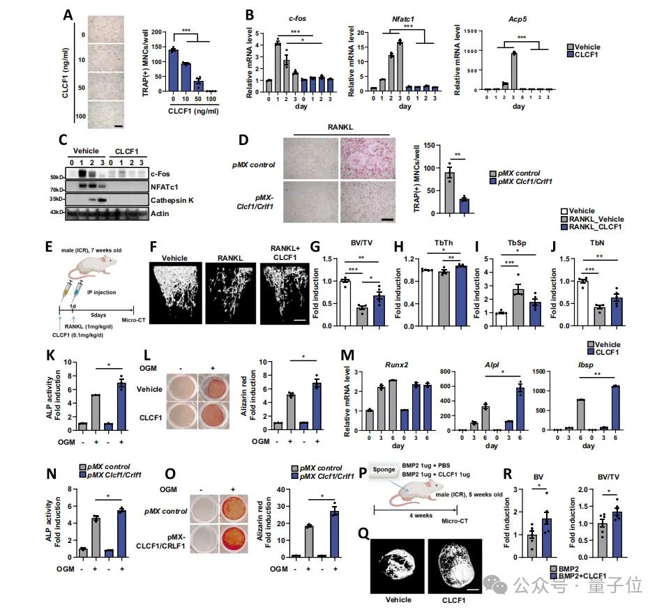
实验在体外对RANKL诱导下的破骨细胞分化过程,使用不同浓度的CLCFI处理,发现其可以显著抑制破骨细胞分化,另外显微CT分析也证明了体内存在相同影响。

然后对成骨细胞生成进行相似处理,发现CLCF1可以刺激结节生成,并显著上调了成骨细胞标志基因Alpl和Ibsp的表达,说明可以正向调节成骨细胞分化以增加骨量。
进一步检查STAT信号通路后,能够明确该现象的产生来自于CLCF1借助STAT1和STAT3磷酸化发挥作用。
- CLCF1可以刺激葡萄糖摄取并改善葡萄糖代谢
通过连续注射两周CLCF1并进行腹腔葡萄糖耐量试验(GTT)和胰岛素耐量试验(ITT),发现CLCF1可以促进糖酵解并增强肌肉细胞对葡萄糖的摄取,有助于老年小鼠进行葡萄糖代谢和肌肉功能。
One More Thing
抗衰老研究长期饱受社会关注,相关研究层出不穷,除了本文提及的运动改善外,当前主流方法还有药物干预、血液交换、基因编辑等。
药物治疗主要集中在清除衰老细胞、改善代谢上,代表药物例如达沙替尼+槲皮素(D+Q),可以联合清除衰老血管中的内皮细胞。
还有以雷帕霉素为代表的mTOR抑制剂,但值得注意的是,雷帕霉素虽然可以改善免疫功能,甚至实验延长了中年小鼠寿命约9%,但长期使用会增加感染风险。
毕竟是药三分毒,还是不要轻易尝试此类药物,难保自己才是那只实验小白鼠。(doge)
而换血疗法,最近也是在社区讨论得沸沸扬扬,即通过输入异体血液或改变血液成分来调节机体衰老进程,核心逻辑源于 “年轻血液可逆转衰老” 的假设。
但换血疗法在人体临床试验并没有体现出抗衰老的明显效果,目前医疗用途也只集中在血液系统疾病的重症治疗上。
基因编辑则是目前学术界和商界更看好的方向,例如由贝索斯斥巨资200亿美元投资创建的Altos Labs,旨在通过细胞重编程和再生医学技术逆转衰老进程,恢复端粒长度和分化能力。

另外在其今年与苏黎世大学合作开展的研究中,发现抗衰老药品结合运动则效果更加显著。
兜兜转转,结果还是运动对健康有益。
所以,屏幕前的大家也请放下手机,一起动起来吧!
论文链接:https://www.nature.com/articles/s41467-025-59959-w
参考链接:
[1]https://x.com/rohanpaul_ai/status/1936795967208001997
[2]https://medicalxpress.com/news/2025-06-protein-revives-aging-muscles-bones.html


